임신 35주 증상, 골반 통증의 연속, 막달검사
- 시현의 화양연화/도담도담
- 2022. 12. 16. 00:23
임신 35주 증상, 골반 통증의 연속, 막달 검사
임신 33주부터 35주가 되는 동안 딱히 큰 이벤트는 없었는데 이제 아기가 2kg가 넘어가니 아침에 일어날 때마다 엉덩이뼈 통증이 너무 심하다. 아기 무게가 누르다 보니 생기는 증상 같은데 침대에서 자세 바꾸려면 진짜 너무 아파서 큰 맘 먹어야한다. 요즘 필라테스도 거의 일주일에 한 번 가는 수준인데 너무 아프고 뻐근해서 진짜 재활운동을 하면 이럴까? 하는 생각이 들었다. 골반 스트레칭, 엉덩이 근육 풀어주는 동작 등만 겨우 반복하는 수준인데 병원에서도 스트레칭은 많이 할수록 좋다고 하셔서 집에서도 아플 때마다 하려고 노력 중이다. 골반이나 엉덩이뼈가 너무 아픈 날은 잘 걷지도 못하고 조금 걸어도 밑이 빠질 것 같거나 다리가 저린 날이 많아 산책도 많이 줄어들었다. 아직 준비 못한 것들이 많은데 몸이 아파 잘 못 걷고 금방 배가 뭉치니 컨디션도 너무 안 좋아지고 기분도 많이 다운되는 거 같다. 임신 후기는 정말 힘겹구나 그동안 괜찮다고 생각했던 것들이 거동까지 불편해지고 힘들다 보니 다양한 감정이 몰아치기도 했다. 그래도 아직 너무 아파 갑작스럽게 병원을 간다거나 증상이 입원할 정도는 아닌 거 같아 다행이긴 하다.

2주마다 병원을 와야 하니 정말 시간이 금방 가는 느낌이다. 37주까지 2주 간격으로 가다가 이제 한주 간격으로 병원을 방문하지 않을까 싶다. 연말이라 병원에도 예쁘게 트리 장식을 해놓았는데 너무 예뻤다.

막달 검사 안내를 받고 산모수첩에 붙어 있던 노란색 스티커를 떼어주셨다. 그리고 막달 산모는 이렇게 웃음 표시는 한다며 네임펜으로 눈웃음도 그려주셨다. 너무너무 친절하신 프런트 직원분들. 그동안 1층에 접수하면서 소변검사를 바로 했는데 막달 검사하는 날이라 소변검사도 2층에서 한다고 안내해주셨다. 흉부 엑스레이, 심전도 검사를 하고 채혈을 한 뒤 원장님 진료를 보러 3층으로 가면 된다고 안내받았다.

소변 검사를 하고 흉부엑스레이 찍기 전 잠깐 분만 체크 리스트 종이를 주셨다. 나는 자연분만을 선호하고 있는데 이건 37주 검사 때 진료를 보고 결정할 수 있는 거 같다. 자연분만도 내가 하고 싶다고 할 수 있는 게 아니었다. 분만 때쯤 아기 체중, 위치, 산모의 건강상태 중 특히 속 골반 크기 등이 중요하게 작용하는 거 같다. 그 외 제대혈은 좀 더 공부해보고 다시 의사를 전달해드릴 예정이다.

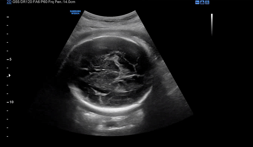
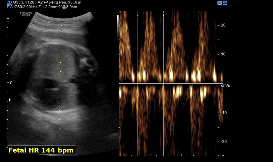
막달 검사를 마치고 30분 정도 대기한 뒤 원장을 진료를 봤다. 4분가량 배 초음파로 아기의 상태를 체크해주시는데 BPD, Fetal HR, AC, FL 순서로 봐주시고 마지막으로 아기 얼굴을 보여주셨다.


지난번 진료에는 잘 못 먹고 체중도 늘지 않아서 아기도 딱 400g 체중이 증가했지만 주수에 비해 좀 작은 편이었는데 이번에는 잘 먹고 내 체중도 늘어서 갔더니 아기도 폭풍 성장해있었다. 원래 주수에 비해 작아서 예정일까지도 채울 수 있을 거라 생각했는데 이대로면 좀 더 일찍 나올 수 있다고 하셨다. 급 당황.

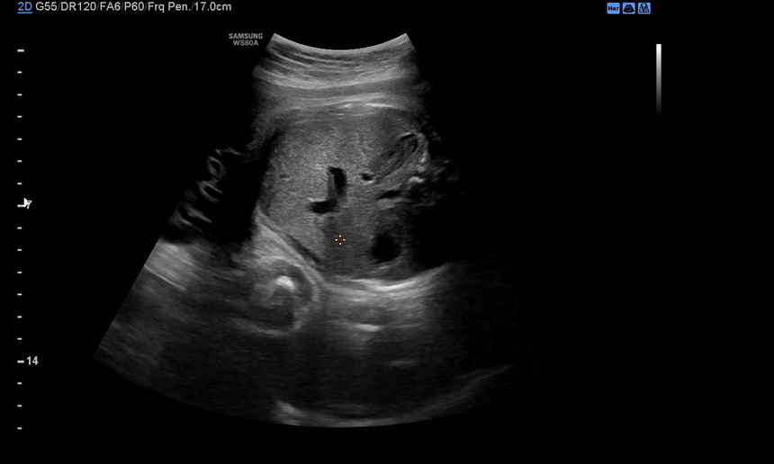
항상 이 시간에 자고 있는 우리 아기. 이번엔 초콜릿 우유를 먹지 않아서 그런지 얌전히 자고 있었다.

이제 점점 자궁이 좁아 불편할 텐데 그래도 얌전히 잘 버텨주고 있어 대견하다. 태동은 매일 느끼지만 내 기준 엄청 아프지 않은 것 같다.

자면서도 입은 오물오물.

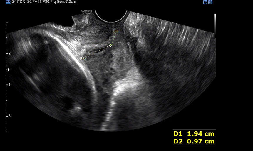
배 초음파를 마치고 질 균 검사를 하면서 자궁경부 길이도 다시 재주셨다. 지난번엔 자궁경부 길이가 오히려 좀 남는다고 하셨는데 이번엔 꽤 내려와 있었다. 입원하거나 너무 걱정할 정도로 내려온 건 아니고 지금쯤 이 정도는 내려와야 분만할 수 있다고 그러셨다. 배뭉침도 이 시기는 너무 없어도 분만이 어려울 수 있다고 지금 느끼는 불편함과 통증은 자연스러운 거라고 안심시켜주셨다. 그래도 피 비침이 있으면 바로 병원에 와야 한다고 말씀하셨던 거 같다. 이제 다음 진료는 37주 차에 방문하게 되는데 임산부로서 진료 보는 날이 이제 얼마 남지 않았다. 남은 기간 동안 조금 더 마음을 내려놓고 편히 지내도록 노력할까 한다.
'시현의 화양연화 > 도담도담' 카테고리의 다른 글
| 엘레뉴2 임산부 중기 영양제, 임신 13주부터 섭취한 종합 영양제 후기 (0) | 2022.12.22 |
|---|---|
| 마이리틀데이지 디데이 우드 토퍼 풀구성 구입 후기, 셀프촬영소품 (0) | 2022.12.18 |
| 샤오미 토뉴 오즈캔 t1s, 기저귀 쓰레기통 구입 후기 (0) | 2022.12.13 |
| 룩수스베이비 직구, 구스 라지 인형, 콩제슬래드 탕온계, 캠캠 코펜하겐 플레이매트 구입 후기 (1) | 2022.12.10 |
| 밤부베베 거즈, 엠보 손수건, 천기저귀, 목욕타올, 세탁 방법, 막달 임산부 빨래 (0) | 2022.12.09 |
이 글을 공유하기





