임신 30주 증상, 배뭉침, 아기 몸무게, 임산부 후기 일상
- 시현의 화양연화/도담도담
- 2022. 12. 2. 21:48
임신 30주 증상, 배뭉침, 아기 몸무게, 임산부 후기 일상
임신한 지 정말 엊그제 같은데 벌써 앞에 3이란 숫자로 바뀌었다는 게 정말 믿기지 않는다. 이건 마치 스무 살에서 서른으로 넘어가는 기분이랄까. 임신 중기에는 임당 검사와 입체 초음파가 가장 큰 이벤트였다면 이제는 임신 후기로 접어들게 되면서 막달 검사 이외에는 큰 이벤트가 없는 거 같다. 30주가 넘어가면서 제왕절개를 원하는 산모분들의 경우 택일을 받기도 하고 그걸 기준으로 제왕 날짜를 미리 잡는 경우도 많은 것 같다. 나의 경우는 워낙 상처가 잘 아물지 않는 스타일이기도 하고 제왕절개 수술에 대한 거부가 좀 더 큰 편이라 일단 자연분만을 생각하고 있다. 겪어보지 않아서 생각할 수 있는게 자연분만이라고 하는데 생리통이 엄청 심한 편이라 벌써부터 걱정이 되긴 한다. 28주에서 30주가 오는 동안 딱히 추가되는 증상은 없었는데 배뭉침이 좀 괜찮아져서 운동을 좀 더 해볼까? 잠깐 행복한 생각을 했던 거 같다. 그래도 컨디션이 좋지 않아 일주일 한번 가던 필라테스를 2번이나 가면서 근육 운동과 스트레칭을 할 수 있어서 리프레쉬에 도움이 된 거 같다. 30주부터는 배가 눌릴 수 있어서 산전 복대는 하면 안 된다고 들어서 이제 허리 뒷짐 지고 걷는 일이 많아졌다.

30주부터는 2주 간격으로 병원을 가게 된다. 2주만에 병원을 내원했고 이번엔 피검사가 없지만 매번 올 때마다 소변 검사를 하게 된다. 산모수첩에 노란 스티커도 붙여주셨다. 아기 몸무게는 2주 동안 무려 503g이 증가했다. 내 몸무게도 1.7kg 정도 늘었다. 원장님께서 아기는 조금 작게 태어날 수 있다고 하셨는데 3.2~3.4kg 정도 예상하셨다. 너무 크지도 작지도 않아서 다행이다.

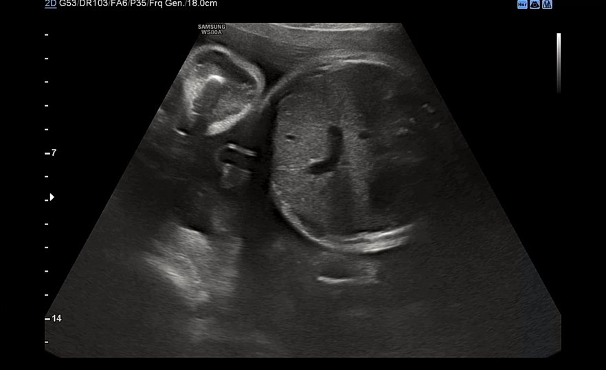
심장도 여전히 잘 뛰고 있고 bpd 7.67cm, ac 26.65cm 정도 나왔다. 원래 주수에 비해 머리가 작은 편이고 배는 딱 적당한 편이었는데 이번주에는 복부가 빵빵해졌다.

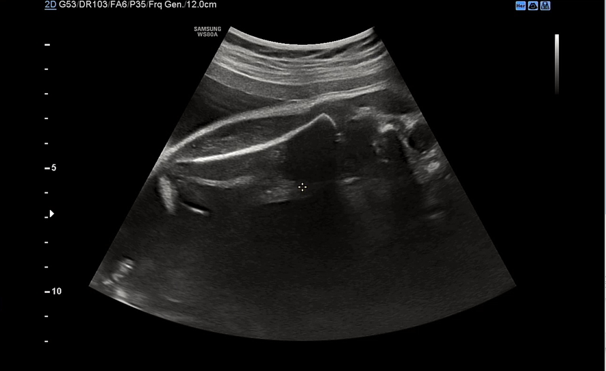
다리는 5.96cm 정도로 평균보다 긴 편이라고 하셨다.

이 날 우리 아기는 배에 얼굴을 파묻고선 얼굴을 보여주지 않았다. 아니 지난주에는 그렇게 잘 보여주더니 이번엔 얼굴을 돌릴 기미가 1도 안보였다. 요건 얼굴을 돌린 상태에서 귀만 살짝 보여준 모습.

눈이 살짝살짝 보이다가도 푹 다시 파묻어버리는. 다음 검사때에는 초코우유를 먹여야겠다며 남편이 어찌나 아쉬워하던지 모르겠다. 초음파 검사를 마치면 항상 원장님께서 궁금한 거 없냐고 여쭤보시는데 다른 임산부들은 뭘 물어볼까? 이제 운동을 조금 늘려도 되냐고 여쭤봤는데 무리되지 않는 선에선 괜찮다고 하셨다. 아주 막달이 아니고선 운동은 크게 권장되지 않는 느낌이다. 아기도 너무 잘 자라고 있고 내 컨디션도 너무 좋아 별로 물어볼 게 없었다. 사실 이 날 백일해 주사를 접종하기로 했는데 백신이 떨어져서 접종을 하지 못했다. 34주 전까지는 접종이 권장되는데 원장님께서 소아과나 정형외과에 물량이 있을 수 있으니 가까운 곳으로 전화를 해보라고 하셨다. 일단 2주 뒤 진료라서 그때 병원을 와보고 백일해 주사가 또 없으면 가까운 병원에 전화를 돌려보기로 했다. 이제 30주가 되니 출산용품 리스트에서 남은 물건들도 모조리 다 구입하고 빨래도 시작해야 한다. 엄청 일찍부터 이것저것 알아보고 준비한 거 같은데 한도 끝도 없는 출산 준비. 시간이 점점 부족한 기분이다.
'시현의 화양연화 > 도담도담' 카테고리의 다른 글
| 에뜨와 배냇저고리, 손싸개, 속싸개, 타미 5종, 신생아 의류, 출산준비 (0) | 2022.12.06 |
|---|---|
| 임신 33주 증상, 임산부 골반통증, 백일해 접종, 눈 뜬 아기의 모습 (0) | 2022.12.04 |
| 브라비 스마트 분유제조기 구입 후기, 최악의 3주년 이벤트 상품 (0) | 2022.11.30 |
| 임신 28주 증상, 입체초음파 성공, 배 뭉침, 2차 태아 정밀초음파 검사 (0) | 2022.11.21 |
| 베이비뵨 바운서 메쉬, 밸런스 소프트 스카이 블루 색상 구입 후기 (0) | 2022.11.11 |
이 글을 공유하기





